مرض الزهري Syphilis: كيف ينتقل وما هي الأعراض وطرق العلاج
مرض الزهري شديد العدوى ينتقل عن طريق الاتصال الجنسي بسبب الإصابة ببكتيريا اللولبية الشاحبة ويجب علاجه في المراحل المبكرة حتى لا يسبب مشاكل صحية طويلة الأمد مثل التلف الدائم للقلب والدماغ والعضلات والعظام والعينين والأعصاب أو حتى الوفاة.
وفي مقالنا سنتعرف على الأعراض والأسباب وطرق العلاج.
محتويات
داء الزهري
- مرض الزهري Syphilis داء معدي ينتقل عن طريق الاتصال الجنسي بسبب بكتيريا اللولبية الشاحبة الموجودة في القروح على الأعضاء التناسلية والمهبل والشرج والمستقيم والشفتين والفم.
- كما قد تنقل العدوى من الحامل إلى طفلها الذي لم يولد بعد (الزُّهري الخلقي).
- تزايدت حالات الإصابة بالمرض حديثًا، خاصة بين الرجال المثليين وثنائيي الميول الجنسية حيث يتم تشخيص حوالي 80 ألف حالة سنويًا.
- تنشر العدوى عند الرجال خاصة في أوائل العشرينات من العمر.
مراحل مرض الزهري
تتطور عدوى الزهري إذا لم يتم علاجها على 4 مراحل مختلفة في الأعراض، كالتالي:
الأولي
- تحدث بعد أسبوعين إلى 12 أسبوعًا من التعرض للبكتيريا. وفيها تظهر قرحة حمراء ناعمة (القرحة على الأعضاء التناسلية أو في الفم)
- القرحة صغيرة وعادة ما تكون غير مؤلمة تختفي القرح من تلقاء نفسه في غضون بضعة أسابيع أو أشهر، لذلك قد لا تعرف أنها موجودة.
الثانية
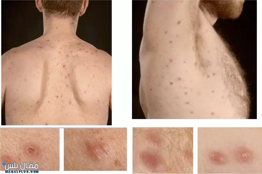
- تٌعرف بالزهري الثانوي وتبدأ بعد حوالي شهر إلى ستة أشهر من اختفاء القرحة، حيث يظهر طفح جلدي خشن وعرق على الجسم، عادةً على راحة اليد وباطن القدم.
- قد تشمل الأعراض الأخرى لمرض الزهري بها: أعراض شبيهة بأعراض الأنفلونزا مثل الحمى والتعب والتهاب الحلق وآلام العضلات تظهر وتختفي لأشهر أو سنوات.
الثالثة
- تٌعرف بالزهري الكامن وغالبا لا توجد علامات أو أعراض خارجية، ومع ذلك، قد تلحق العدوى الضرر بالقلب أو العظام والأعصاب والعضلات.
- قد تستمر هذه المرحلة عدة سنوات.
الرابعة
تٌعرف بالزهري الثالث أو المتأخر، لا توجد أعراض للمرض أو تكون خفيفة ولا يمكن ملاحظتها. وقد يسبب ذلك العديد من المضاعفات الصحية التي تتطور ببطء وتشمل:
- تلف الدماغ والخرف ومشاكل الصحة العقلية.
- مرض قلبي.
- اضطرابات الحركة ومشاكل العضلات.
- تلف العصب.
- النوبات.
- أورام تظهر عادة في العظام والجلد.
- مشاكل في الرؤية.
في المرحلتين الأولى والثانية، يكون المرض شديد العدوى ويمكن نقله بسهولة.
اقرأ ايضا
- علاج السيلان بالمضادات الحيوية: المدة والجرعة وأهم الاحتياطات
- مرض الملاريا بالتفصيل: أسبابه واعراضه وعلاجه
- كم يوم يستمر مرض الجدري؟
- هل مرض لايم خطير أو معدي؟
- ما هو تحليل الزهري بالتفصيل؟
- ما هو تحليل السيلان PCR بالتفصيل؟
- تحليل صورة الدم الكاملة CBC سؤال وجواب
أعراض مرض الزهري
- تختلف الأعراض حسب مرحلة الزهري كالتالي:
أعراض المرحلة الأولى
- واحدة أو أكثر من القروح أو القروح غير المؤلمة التي تظهر بالقرب من مكان الإصابة، وعادة ما تكون القضيب أو الفرج أو المهبل
الزهري الثانوي
في مرحلة مرض الزهري الثانية ستظهر أعرض مثل:
- تضخم الغدد الليمفاوية
- طفح جلدي منتشر على راحتي اليدين أو باطن القدمين
- زوائد تشبه الثآليل بالقرب من المناطق الرطبة من الجلد مثل الفم والإبط والأعضاء التناسلية والشرج
- حُمى
- إعياء
- فقدان الشهية
- فقدان الوزن
- نادرًا ما تظهر إصابة الكبد أو العين أو الجهاز العصبي
الزهري الثالثي
في المرحلة المتاخرة من مرض الزهري قد تظهر اعراض مثل:
- كتل التهابية تعرف بالصمغ على الجلد أو العظام أو الأعضاء الداخلية
- آلام العظام العميقة
- تلف القلب
- الزهري العصبي
- الصداع
- عدم التنسيق
- خدر
- شلل أعضاء الجسم
- الخرف؛ اضطراب عقلي يسبب فقدان الذاكرة
أعراض الزهري العيني
- تغييرات الرؤية
- العمى
- طنين في الأذنين
- فقدان السمع
- دوار، وحركة رجعية سريعة للعين تعرف بالرأرأة.
أسباب الإصابة بمرض الزهري
- تسبب بكتيريا اللولبية الشاحبة عدوى الزهري حيث ينشر الشخص المصاب البكتيريا عن طريق الجنس المهبلي أو الشرجي أو الفموي.
- تدخل البكتيريا الجسم من خلال فتحة الشرج أو المهبل أو القضيب أو الفم أو الجلد المكسور.
تشمل العوامل التي تزيد خطر الإصابة بمرض الزهري ما يلي:
- المثليين أو ثنائي الجنس من الرجال.
- ممارسة الجماع بدون حماية.
- الإصابة بفيروس نقص المناعة البشرية.
- ممارسة الجنس مع شخص مصاب فعليا بالمرض.
- الإصابة بالأمراض المنقولة بالاتصال الجنسي الأخرى، مثل الكلاميديا أو السيلان أو الهربس.
- الحامل المصابة بداء الزهري.
التشخيص
- يتم تشخيص الزهري من خلال التاريخ الجنسي كما يمكن إجراء اختبار الزهري في الدم أو بإزالة بعض السوائل أو قطعة صغيرة من الجلد من القرحة واختبارها في المختبر.
علاج الزهري
- يعالج الأطباء الزهري بالمضادات الحيوية، مثل البنسلين في المراحل المبكرة للمرض.
- قد تشمل خيارات المرضى غير الحوامل الذين لديهم حساسية من البنسلين ما يلي: دوكسيسيكلين، التتراسيكلين، سيفترياكسون (للزهري العصبي).
- يجب عليك إنهاء دورة المضادات الحيوية بأكملها حتى لو اختفت القرحة أو الطفح الجلدي كما يجب إخبار أي شخص مارست معه الجنس في العامين الماضيين وإخباره بضرورة اختباره.
- عادة ما يختبر الطبيب الزهري في الدم بعد الانتهاء من دورة العلاج للتأكد من زوال العدوى.
- يمكن تكرار الإصابة بالزهري مرة أخرى بعد العلاج، لذلك تأكد من ممارسة الجنس الآمن وإجراء الفحوصات بانتظام إذا كان لديك خطر متزايد للإصابة بداء الزهري.
الوقاية من مرض الزهري
- يمكن تقليل مخاطر الإصابة بالزهري من خلال: الامتناع عن ممارسة الجماع أو استخدام الواقي الذكري دائمًا أثناء ممارسة الجنس.
المصادر
وفي نهاية مقالنا؛ هدفنا في موقع مقال بلس هو إثراء المعرفة بالأمراض والأسباب والأعراض والتحاليل الطبية وليس التشخيص أو الوصف لأننا ندرك أن الوقاية خير من العلاج. دمتم جميعًا بخير.









